Eccellenze

Odontoiatria Pediatrica

L’Odontoiatria pediatrica (o Pedodonzia) si occupa della fisiologia della crescita, dello sviluppo psicologico dei pazienti in età evolutiva e della prevenzione, diagnosi e terapia delle malattie odontostomatologiche dei bambini, con attenzione a coloro che sono affetti da patologie sistemiche.

NEL NOSTRO STUDIO CI OCCUPIAMO DI:

  • Approccio psicologico al paziente pediatrico e istruzioni di igiene orale
  • Prevenzione delle malattie dell’apparato stomatognatico in età evolutiva e adolescenziale con igiene orale professionale, fluoroprofilassi e sigillatura dei solchi dentari
  • Diagnosi e terapia delle malattie dell’apparato stomatognatico in età evolutiva e adolescenziale:
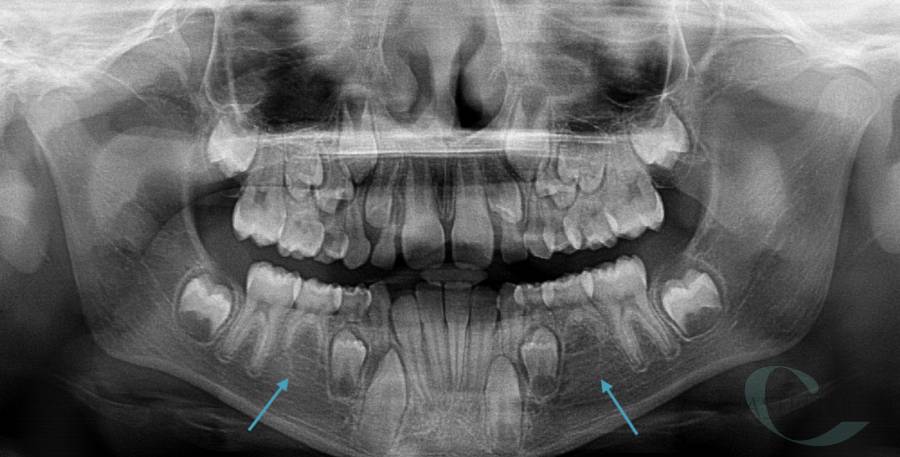
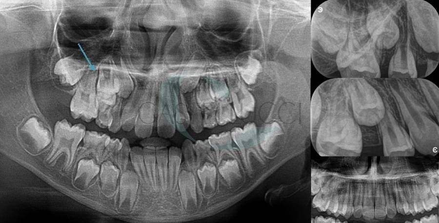
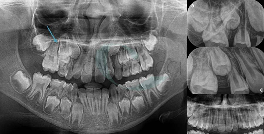
    • Patologia cariosa dei denti decidui, permanenti immaturi e permanenti
    • Patologia endodontica dei denti decidui, permanenti immaturi e permanenti
    • Patologie parodontali
    • Patologie della Mucosa orale
    • Patologie ossee e delle Articolazioni Temporo-Mandibolari
  • Diagnosi e terapia delle alterazioni della permuta e delle alterazioni dento-scheletriche legate alle abitudini viziate in dentatura decidua, mista e permanente
  • Gestione clinica e comportamentale del paziente pediatrico in presenza di patologie sistemiche ematologiche, oncologiche, cardiovascolari, immunologiche, reumatologiche, neurologiche, psichiatriche, dermatologiche, infettivologiche, respiratorie, allergiche, gastroenterologiche, muscolo-scheletriche, endocrinologiche
  • Terapia chirurgica degli elementi dentari decidui con ritardo di permuta
  • Disinclusione chirurgica degli elementi dentari permanenti ritenuti
  • Frenulotomia e Frenulectomia
  • Rieducazione posturale e funzionale dell’organo linguale con attenzione alle problematiche logopediche e richiesta di consulenze esterne di specialisti in Logopedia

© Studio Odontoiatrico Castellucci | PI IT00860420942 | All rights reserved.
Designed by ENIA.